Asbest Hastalığı Nedir?

Asbest Hastalığı Nedir?

Asbest Hastalığı Nedir? Asbest maddesinin neden olduğu hastalıklar ve asbest hastalığının belirtilerini sizin için inceliyoruz.

Halk arasında Asbest Hastalığı olarak da bilinen 'Asbestozis' hastalığını ve Asbest'i tüm detaylarıyla sizin için inceliyoruz.

Asbest Nedir?

Asbest; asbestos ya da amyant olarakta bilinen, lifli yapıda bir silikat mineralidir (silikat: yer kabuğunda en çok bulunan oksijen ve silisyum elementlerini içeren mineral türüdür). Silisyumun sodyum, demir, magnezyum ve kalsiyumla oluşturduğu ısıya, aşınmaya ve kimyasal maddelere çok dayanıklı, lifsel mineral yapısında hidrate silikatlardır. 

Halk arasında ak toprak, çorak toprak, gök toprak, çelpek, höllük veya ceren toprağı gibi isimlerle de bilinir. Asbest liflerinin solunması mezotelyoma, asbestozis ve akciğer kanseri dahil olmak üzere çeşitli tehlikeli akciğer rahatsızlıklarına yol açabilir. Bu nedenle artık ciddi bir sağlık ve güvenlik tehlikesi olarak kötü bir üne sahiptir. 

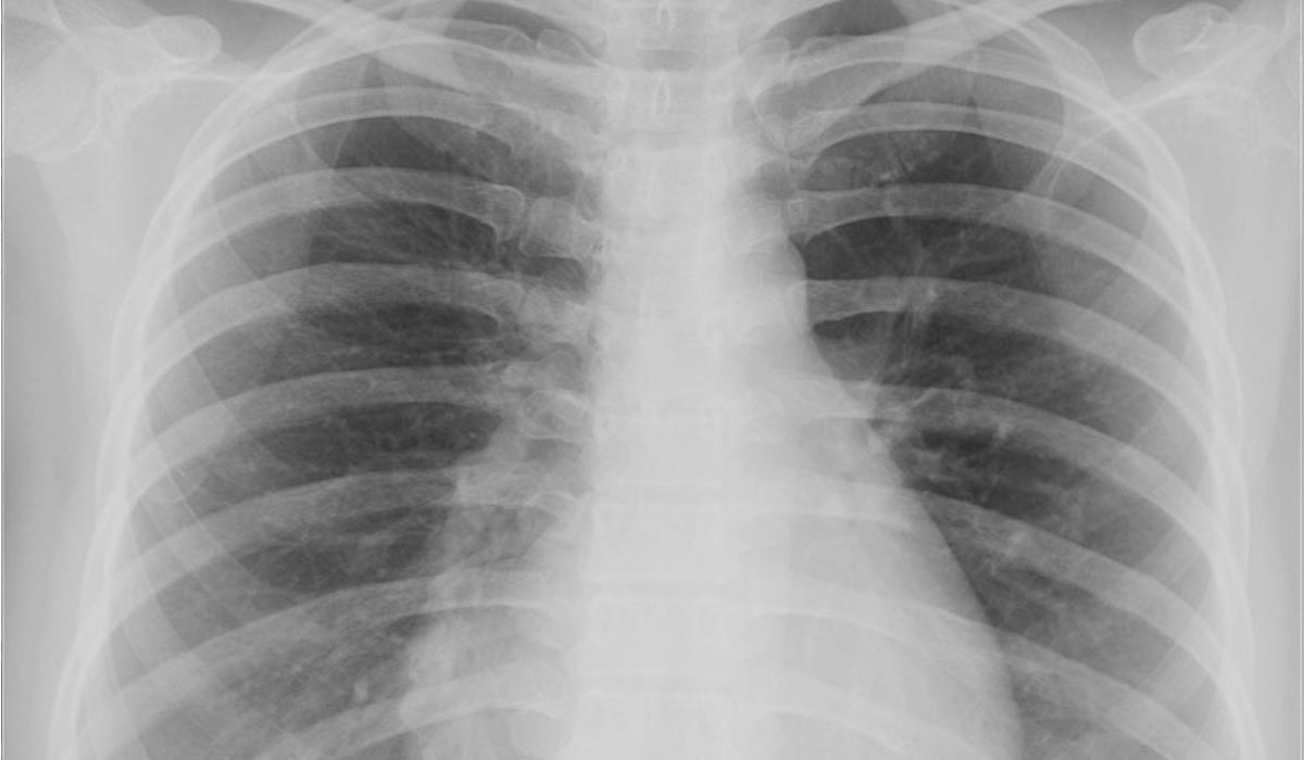
Asbestozis ise asbestos solunmasıyla oluşan toz hastalığıdır.

Asbestin Neden Olduğu Hastalıklar Nelerdir?

Asbest son derece tehlikeli bir çok kanser ve iltihap türüne neden olabilir. Asbest'in neden olduğu bazı hastalıkları aşağıda görebilirsiniz.

  • Akciğer kanseri
  • Gırtlak Kanseri
  • Yumurtalık kanseri
  • Kalp zarı hasarı
  • Akciğer zarı iltihabı
  • Kireçlenme ve cilt yaraları bulunmaktadır.

Asbest Hastalığı Belirtileri Nelerdir?

En önemli belirtisi belirtisi yavaş ve sinsice gelişen nefes verme güçlüğüdür. İlerlemiş vakalarda bu solunum durmasına kadar varabilir.

Öksürük ise hastanın başka bir solunum yolu şikayeti yoksa belirtiler arasında değildir.

Asbest Hastalığının Tedavisi

Genelde nefes darlığını hafifletmek için evde oksijen tedavisi uygulanır.

Destekleyici tedaviler ise solunum yollarındaki iltihaplı akıntının çıkarılması için titretme, vurma gibi fizyoterapi yöntemlerini içerir. İltihabı azaltmak için buğulu ilaçlar da önerilebilir.

Fakat! erken tanı ve tedavi olmaz ise; Hastalığın ilerlemiş olduğu durumlarda etkili hiçbir tedavi bulunmamaktadır.

Yorum Yap

Misafir olarak yorum yapıyorsunuz. Giriş Yap

Yorumunuzun kontrolden geçtikten sonra yayınlanacaktır.

Nasıl bir ilac ben menopoza gırdım cok sınırlı ve gergin oluyorum içe bilirmiyım rd yazmış faydası varmı
Magne fort.kroner kalp hastası.iki kere anjiyo olup üç damar tıkanıklığı giderilmiş hastaya Bu ilacı SGK ödermi??
...