Fibroz Displazi

Fibroz Displazi

Kemik dokunun yerini alarak gelişen fibröz kemik yapısının zayıflamasına sebep olan bir tümördür. Fibroz Displazi Belirtiler?

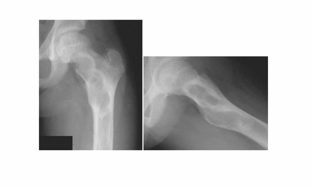
Kemikte şekil bozukluklarına sebebiyet veren fibröz disolazinin belirtileri ve tedavi yöntemleri. Bir ölçüde Paget hastalığına benzeyen Fibröz Displazide kemik dokusunun anormal kistik büyümesi söz konusudur. Bu hastalıkta kemik dokusu daha çok fibröz yapıdadır. Nedeni bilinmeyen bu hastalık genellikle ilk çocukluk döneminde ortaya çıkar ve birden fazla kemiği etkileyebilir. Fibröz displazinin bir tipi, kızlarda erken cinsel olgunlaşma (Albright sendromu) ile birlikte görülür.

Fibroz Displazi Belirtiler

  • Özellikle bacağın alt bölümünde kemik ağrısı
  • Yürüme zorluğu
  • Nadir olarak kırıklar ve birçok kemikte şekil bozukluğu
  • Çoğu kez herhangi bir belirti vermez

Fibroz Displazi Teşhis

Fibröz displazinin varlığı, kemik röntgenleri ve biyopsi yapılarak kemik dokusundan alınan örneğin laboratuvarda incelenmesi ile doğrulanır.

Fibroz Displazi Tedavi

Fibröz displazi tedavi edilebilen bir hastalık değildir, ancak kemiklerdeki aşırı fıbröz büyüme ameliyatla çıkarılabilir. Kemik grefide (başka bir kemikten alınan dokunun etkilenen bölgeye yerleştirilmesi) gerekli olabilir.

Yorum Yap

Misafir olarak yorum yapıyorsunuz. Giriş Yap

Yorumunuzun kontrolden geçtikten sonra yayınlanacaktır.

Nasıl bir ilac ben menopoza gırdım cok sınırlı ve gergin oluyorum içe bilirmiyım rd yazmış faydası varmı
Magne fort.kroner kalp hastası.iki kere anjiyo olup üç damar tıkanıklığı giderilmiş hastaya Bu ilacı SGK ödermi??
...